top of page
Silvia María Gómez
Hematología portfolio

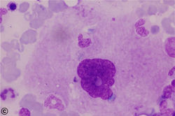
Trombocitopoyesis
![]() Megacarioblasto•Tamaño y forma celular: diámetro de 6-24 µm •Núcleo: único, grande, ovalada o bilobulado, con cromatina laxa •Nucléolos numerosos •Citoplasma: intensamente basófilo, agranular, puede presentar prolongaciones a modo de pseudópodos muy característicos. •Observación infrecuente en médula ósea | ![]() Promegacariocito•Tamaño y forma celular: diámetro de 30-50 µ •Núcleo: multilobulado, con cromatina densa •sin nucléolos •Citoplasma: tonalidad basófila, cubierta zonalmente por numerosas granulaciones azurófilas. Aspecto característico, pues posee bordes mal limitados y emite numerosas prolongaciones. •Fácilmente identificable en médula ósea | ![]() Megacariocito•Tamaño y forma celular: gran tamaño 80 µ •Núcleo: Multilobulado y Multiforme, Cromatina densa irregularmente distribuida •No tiene nucléolos •Citoplasma: Abundante, Ligeramente basófilo a pálido, Gran número de gránulos (azurófilos), Puede observarse a las plaquetas desprendiéndose, PAS positvo, así como fosfatasa alcalina. •Esta célula se observa en la m édula ósea. |
|---|---|---|
![]() Plaquetas•Tamaño y forma celular: elementos pequeños de 2-4 µm de diámetro; irregulares, ovales o redondas •Núcleo: no tienen núcleo •Citoplasma: Son porciones fragmentadas del citoplasma del megacariocito Se les distingue una zona hialina clara o débilmente basófila que contiene gran número de gránulos de color rojo púrpura (azurófilos). Cuando son jóvenes se les denominan macroplaquetas. •Funciones: relacionada con procesos procoagulantes. |
Es la producción de plaqueteas que se realiza ne la medula oseas a partir del promegacarioblasto, que es la celula precursora del megacarioblasto y que no tiene identificación morfológica particular, (Manescero, 2003).
* hacer clic en la imagen para obtener la información de cada célula.
bottom of page



